為何需要人工植牙-病人怎麼說

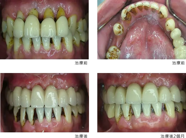
[ 湯先生植牙案例 ]

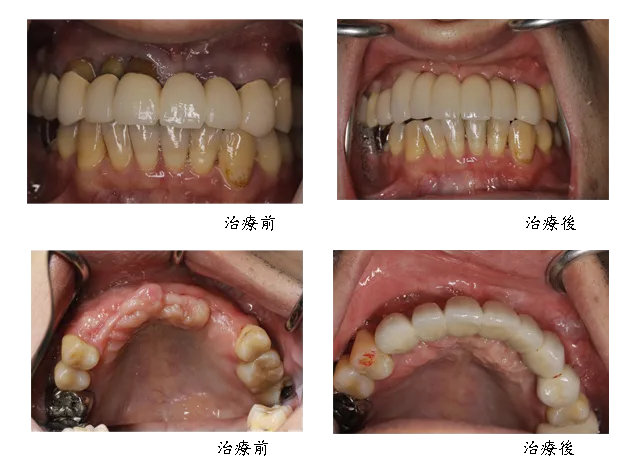
[ 賴先生植牙案例 ]

[ 賴先生植牙案例 ]

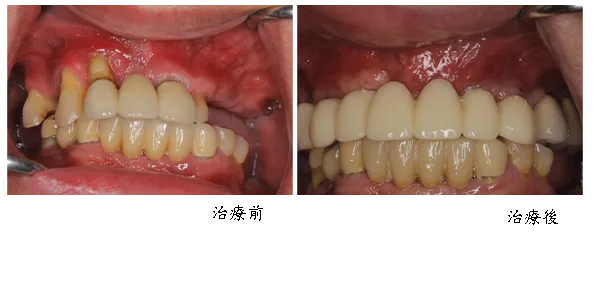
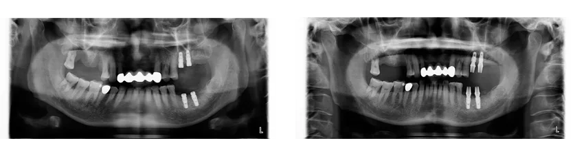
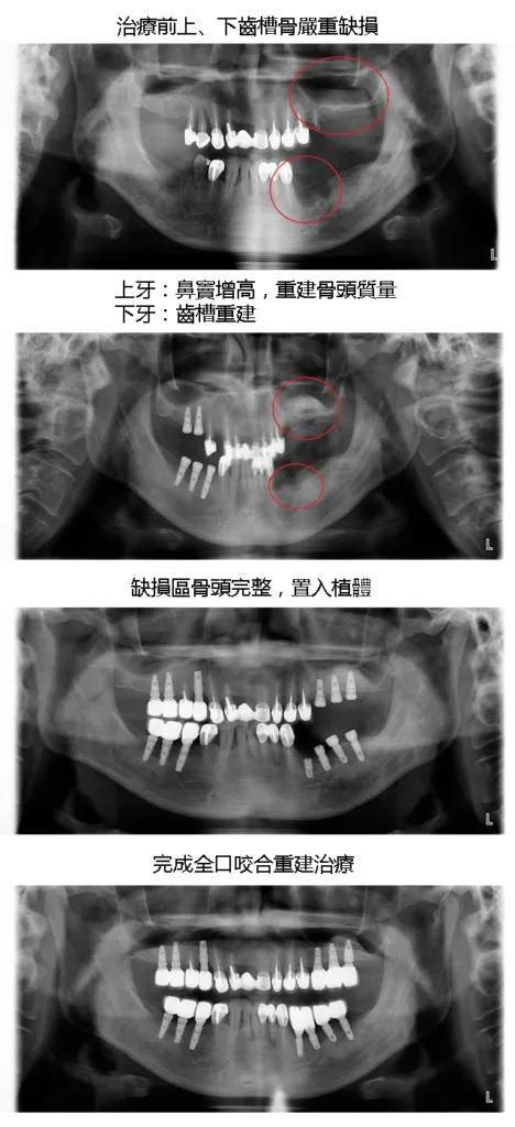
[ 王先生植牙案例 ]

[ 王先生植牙案例 ]

[ 邱小姐植牙案例 ]

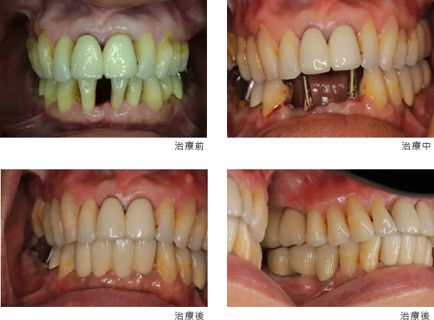
[ 陳先生植牙案例 ]

[ 何先生植牙案例 ]

[ 藍覺女士植牙案例 ]

[ 陳小姐植牙案例 ]